Сайт предназначен только для специалистов здравоохранения
Сайт предназначен только для специалистов здравоохранения

Анамнез заболевания

Иконка орган

Обострения циститов после полового акта с 2020 г.

Неоднократно проходила лечение у уролога, курсы антибиотиков (норфлоксацин, фосфомицин, нитрофурантоин, нифурател и др.)

Результаты обследования

Иконка лупа
  • Общий анализ мочи: норма.
  • Бактериальный посев мочи: рост энтерококка 10×6 КОЕ,
    резистентность: к ампициллину.
  • УЗИ мочевого пузыря, почек: почки без патологии, мелкодисперсная взвесь в мочевом пузыре.
  • Мазок гинекологический общий: смешанная флора.

5 дней назад проведена транспозиция уретры гиалуроновой кислотой (Amalain inconti 2 ml)

Иконка лупа

Осмотр:

периуретрально визуализируется плотное образование размерами 1,5×1 см. При пальпации область вокруг уретры резко болезненна.

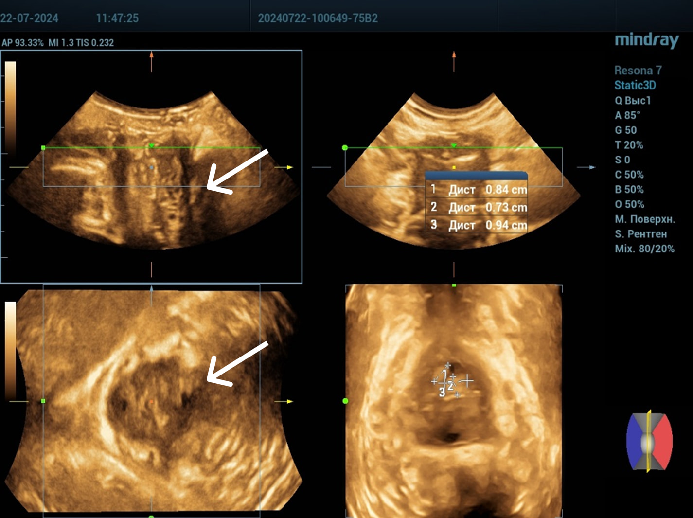
УЗИ тазового дна для уточнения
расположения филлера 1

Эхограммы периуретральной области
Трансперинеальный доступ, линейный датчик.

Слева от уретры округлое образование с четкой капсулой и мелкодисперсной взвесью размерами 1,5×1,0 см (филлер с воспалением), справа — анэхогенное овоидное образование (филлер).

Эхограмма 1
Эхограмма 2

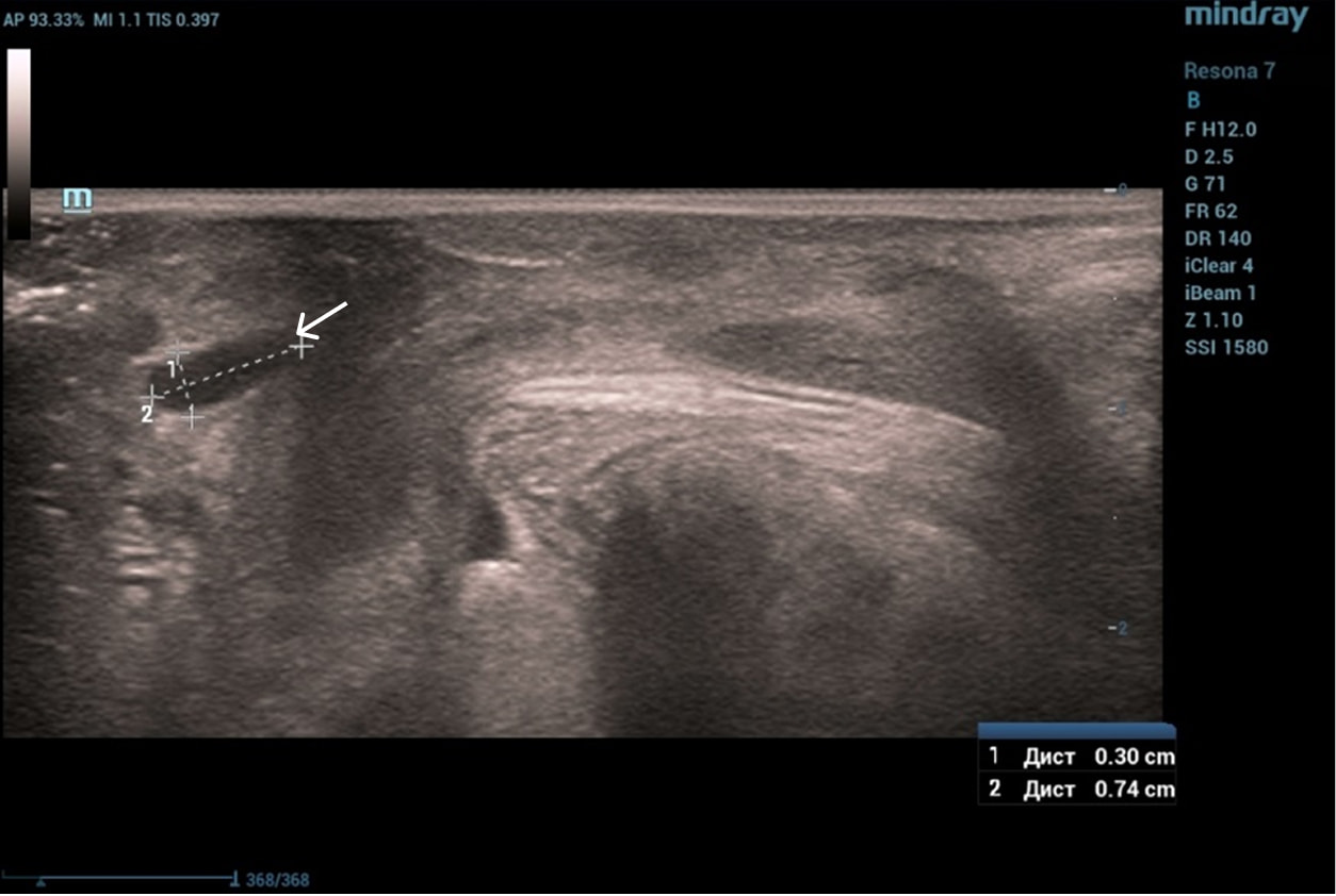
УЗИ тазового дна для уточнения
расположения филлера 2

Эхограммы периуретральной области
Трансперинеальный доступ, конвексный датчик.

Слева от уретры округлое образование с четкой капсулой и мелкодисперсной взвесью размерами 1,5×1,0 см (филлер с воспалением), справа — анэхогенное овоидное образование (филлер).

Эхограмма 3

Пациентка с посткоитальным циститом

Вопрос 1 из 3

Пациентка И., 41 год

Жалобы:

Боли в области уретры после парауретрального введения геля на основе гиалуроновой кислоты, рези при мочеиспускании, частые обострения цистита посткоитально 2-3 раза в месяц в течение 5 лет.

Диагноз
  • Хронический цистит (посткоитальный).
  • Дистопия уретры.
  • Опущение передней стенки влагалища I степени.
  • Гематома после периуретрального введения геля на основе гиалуроновой кислоты.
Лечение

Внутрь Фурамаг® (фуразидина калиевая соль)

100 мг 3 раза/день, 7 дней.

С целью купирования болевого синдрома нимесулид

1 саше 1-2 раза/день, при болях, 3 дня.

Внутрь растительный фитопрепарат

21 день.

Суперлимф 25 ЕД

по 1 суппозиторию 1 раз/сутки, чередование ректального и вагинального способа введения. Длительность курса до 10 дней, повторить курс через 2-3 мес.

Свечи с бовгиалуронидазой 3 000 МЕ

вагинально по 1 суп. 1 раз/день на ночь, до 20 дней.

Надлежащая интимная гигиена

(например, специализированные гели).

ТЕКАР-терапия

2 сеанса/неделю. Всего 10 сеансов.

Повторный визит через 10 дней

Жалобы: активно не предъявляет

Анамнез: частые обострения цистита посткоитально в течение 5 лет (обострения 2-3 раза в месяц)

Осмотр: периуретрально визуализируется мягко-эластичное образование размерами 0,5×0,5 см.

Диагноз: хронический цистит (посткоитальный). Дистопия уретры. Опущение передней стенки влагалища I степени. Состояние после периуретрального введения геля на основе гиалуроновой кислоты.

С целью профилактики посткоитального цистита:
  • Антибиотикопрофилактика (с учетом редких половых актов) посткоитально: Фурамаг® 50 мг внутрь.
  • Фитотерапия.
  • Надлежащая интимная гигиена, принудительное мочеиспускание до и после полового акта.
  • Тренировка мышц тазового дна.

Код материала: FURXXXXXXHQ Данные из архива проф. И.А. Аполихиной

Настоящий материал подготовлен в информационных целях и предназначен для специалистов здравоохранения. Клинический случай, представленный в публикации, отражает профессиональное мнение автора — профессора Аполихиной И.А., основанное на ее личном опыте и интерпретации клинических данных. Компания OlainFarm не несет ответственности за достоверность, полноту и актуальность представленной информации, а также за любые решения, принятые на ее основе. Компания не оказывает влияние на содержание материала и не гарантирует его соответствие действующим клиническим рекомендациям или стандартам оказания медицинской помощи.

Вопрос 1. Требуется ли пациентке на данном этапе хирургическое удаление филлера?

Вопрос 2. Какой антибиотик выбрать?

Вопрос 3. Какие методы вторичной профилактики показаны данной пациентке?

  • А — Локальные эстрогены
  • Б — Лиофилизат кишечной палочки перорально
  • В — Антибиотикопрофилактика
  • Г — Фитопрофилактика

Ваш ответ верный!

Ваш ответ неверный!

Правильный ответ: Нет, достаточно консервативного лечения.

Правильный ответ: Фуразидина калиевая соль или фосфомицин.

Правильный ответ: В и Г.

Выбор осуществляется с учетом анамнеза пациентки (неоднократное использование антибиотиков), а также лабораторных данных об антибиотикорезистентности обнаруженного энтерококка. Кроме того, с учетом неоднократного приема фосфомицина и его кратковременного эффекта в анамнезе, целесообразно остановить выбор на препарате Фурамаг®.

У пациентки еще нет изменений, связанных с перименопаузой, поэтому назначение локальных эстрогенов нецелесообразно. Лиофилизат кишечной палочки неэффективен при инфицировании энтерококком. Необходимы антибиотикопрофилактика и фитопрофилактика.